Комплекс тканей, окружающих зуб и удерживающих его в альвеоле, называется пародонтом. Воспаление этих тканей в медицине называется пародонтитом. По мере прогрессирования, это заболевание разрушает связки зуба и костную ткань челюсти. В дальнейшем зубы начинают расшатываться и выпадают, на фоне чего могут возникать абсцессы и свищи.
Чаще пародонтит диагностируют в среднем возрасте – 30-40 лет, но сегодня заболевание все чаще появляется и у более молодых людей, в том числе у тех, кто имеет неправильную форму зубов или прикус. Патология развивается по нескольким причинам. Основной из них считают инфицирование десны. Развитию пародонтита способствует также постоянное питание слишком мягкой пищей. Она ухудшает процесс самоочистки зубов. Еще одной причиной пародонтита может выступать привычка жевать только одной стороной, поскольку это нарушает равномерное распределение нагрузки на зубы.
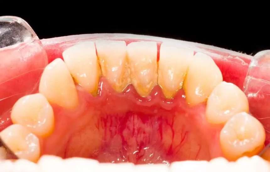
Воспаление пародонта редко сопровождается болевым синдромом. Чаще болезнь проявляется в виде отечности и покраснения десен. Может наблюдаться их кровоточивость, а иногда наблюдается и местное повышение температуры. На ранней стадии распознать заболевание сложно. Большинство пациентов обращаются к врачу с жалобами именно на кровоточивость десен во время чистки зубов или еды.
Если заболевание не лечить, в дальнейшем десны начинают отделяться от зубов, из-за чего они становятся более длинными. Между зубами появляются значительные промежутки. Выпадают они уже на более поздней стадии заболевания.
При появлении первых признаков подобного заболевания необходимо обратиться к стоматологу. Лечение хронического пародонтита сопряжено с большими трудностями. Желательно обратиться в стоматологию на ранних стадиях заболевания. Тогда шансы на успех будут повышены.
Записаться на консультацию можно по номеру телефона:
+351 963 228 371
Rua Manuel da Fonseca 7B, loja 5, 1600-181 Lisboa
Laranjeiras
