Inflamação periodontal

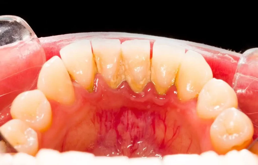
O complexo de tecidos que envolve o dente e o mantém no lugar na cavidade é designado por periodonto. A inflamação destes tecidos é conhecida medicamente como periodontite. À medida que a doença progride, destrói os ligamentos dentários e o osso maxilar. Os dentes acabam por ficar soltos e caem, o que pode levar a abcessos e fístulas.

A periodontite é diagnosticada com maior frequência na meia-idade (30-40 anos), mas hoje a doença ocorre cada vez mais em pessoas mais jovens, incluindo aquelas com dentes de forma irregular ou má oclusão. Esta patologia desenvolve-se por vários motivos, sendo o principal a infeção gengival. Uma dieta persistente de alimentos muito moles também contribui para o desenvolvimento da periodontite, uma vez que prejudica o processo de autolimpeza dos dentes. Outra causa de periodontite pode ser o hábito de mastigar apenas de um dos lados da boca, pois isso interrompe a distribuição uniforme da pressão sobre os dentes.

A periodontite raramente é acompanhada de dor. Mais frequentemente, a doença manifesta-se como inchaço e vermelhidão das gengivas. Pode ocorrer hemorragia e, por vezes, também está presente febre localizada. É difícil reconhecer a doença nos seus estágios iniciais. A maioria dos pacientes procura cuidados médicos especificamente com queixas de sangramento das gengivas ao escovar os dentes ou ao comer.
Se a doença não for tratada, as gengivas começam a separar-se dos dentes, fazendo com que estes se alonguem. Aparecem espaços significativos entre os dentes. Acabam por cair em um estágio posterior da doença.

⚠️ Ao primeiro sinal desta condição, é essencial consultar um médico dentista. Tratar a periodontite crónica é muito desafiante. O ideal é procurar cuidados dentários nos estágios iniciais da doença para aumentar as probabilidades de sucesso.

👇Pode agendar uma consulta ligando para o número:

📞 +351 963 228 371

📍Rua Manuel da Fonseca 7B, loja 5, 1600-181 Lisboa 🚇 Laranjeiras