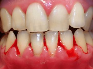
Gengivite
-
- Fase inicial da doença periodontal, totalmente reversível com uma correcta higiene e profilaxia profissional.
- Consta basicamente de avermelhamento, engrossamento e sangramento das gengivas. Atenção que a gengiva em nenhum caso é suposto sangrar.
- A principal causa é a acumulação de placa bacteriana na superfície justa gengival dos dentes, existindo inclusive uma relação directa entre a quantidade de placa bacteriana acumulada e a severidade da gengivite.

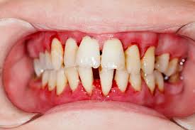
Periodontite
- Fase avançada da doença periodontal que se estende ao ligamento periodontal e ao osso alveolar. É a principal causa da perda de dentes no adulto.
- Trata-se de uma patologia bacteriana que origina destruição do periodonto, seja por acção directa das bactérias seja pela própria resposta imunitária do organismo (aumento da actividade de enzimas destruidoras do tecido periodontal). Como resultado, a gengiva inflamada descola-se da superfície dentária formando as chamadas “bolsas periodontais”, às quais é praticamente impossível aceder com técnicas de higiene básicas. Se não for tratada a tempo leva à perda dos dentes afectados.
A sua detecção precoce e respectivo tratamento são por isso extremamente importantes, sedo necessária a ajuda profissional que mediante um exame clínico e radiológico completo pode realizar um diagnóstico correcto.

Como saber se tenho doença periodontal?
Os primeiros sinais e sintomas são o sangramento espontâneo ou após a escovagem dentária, avermelhamento e as gengivas inchadas. Se não tratada a doença periodontal progride e podem detectar-se outros sinais como sejam: retracção gengival, sensibilidade dentária, sensação de ardor e dor nas gengivas, mau sabor, mau hálito, mobilidade dentária e separação dos dentes, pus….
Que devo fazer se suspeito que tenho doença periodontal?
Deve consultar o seu médico-dentista/estomatologista que caso confirme a doença periodontal o deverá encaminhar para um periodontologista (médico-dentista/estomatologista especializado em diagnóstico e tratamento da patologia periodontal);
A doença periodontal tem cura?
Sim, sobretudo se o diagnóstico e tratamento forem precoces já que o prognóstico depende em larga escala da quantidade de osso de suporte perdido;
Existe predisposição genética para a doença periodontal?
Sim existe.Todos temos uma grande diversidade de bactérias na boca, umas são benéficas, outras são cariogénicas (provocam cárie), outras provocam doença periodontal, etc. A saúde bucal depende não só da quantidade de bactérias mas também do equilíbrio entre as diferentes espécies bacterianas ou seja há pessoas que tem predisposição genética para a doença periodontal porque associado ao seu ADN (código genético) está implícita a existência dum maior número de espécies bacterianas com potencial de destruição periodontal. O mesmo se passa para a cárie. Uma curiosidade interessante é que as pessoas propensas a doença periodontal são mais resistentes à cárie e vice versa.
Existe relação entre doença periodontal e o estado geral de saúde?
Existem estudos que demonstram uma clara associação entre periodontite e:
- um maior risco de enfarto do miocárdio.
- diabetes. A periodontite descompensa o nível de glicemia das pessoas que padecem de diabetes e por sua vez a hiperglicemia dificulta o controlo da periodontite.
- a preeclampsia e hipertensão arterial durante a gravidez.
Em que consiste o tratamento da doença periodontal?
O principal objectivo do tratamento consiste:
- Fase higiénico-cirúrgica que consiste em destartarização exaustiva (pode incluir curetagens sub-gengivais), instruções de higiene oral e sensibilização acerca dos respectivos factores predisponentes (ex. tabaco). Nalguns casos é necessário cirurgia periodontal.
- Fase de Manutenção que consiste em controlos periódicos para aferir o desenvolvimento da doença periodontal, controlo de placa bacteriana (destartarização) e revisão de conceitos básicos. Não se deve confundir uma consulta de manutenção periodontal com uma simples destartarização, pois trata-se de uma série de procedimentos devidamentes protocolados segundo a situação de cada paciente (sondagens de bolsas, índices de sangramento, índice de mobilidade).
Efeitos secundários da cirurgia periodontal?
- Maior sensibilidade dentária ao frio que pode ser atenuada ou mesmo anulada com tratamento específico caso não desapareça espontaneamente.
- Dentes podem apresentar-se com aspecto mais comprido devido à retracção gengival. Tal poderá ser atenuado com cirurgia
periodontal estética.Clínica Dentária Déntica – Lisboa
Rua Manuel da Fonseca 7B, 1600-181
217271737 / 963228371
www.dentica.pt

Deixe o seu comentário